

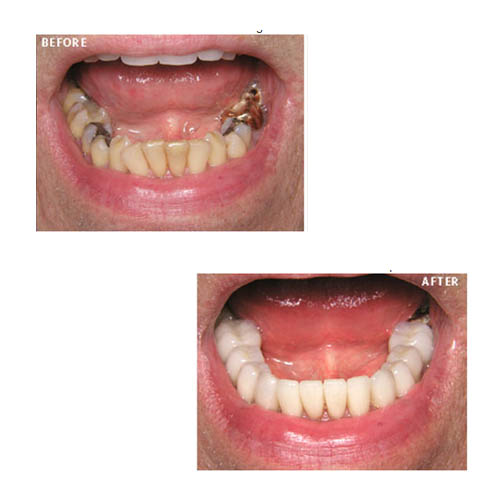
Porcelain crowns replace the exterior portion of a tooth to re-establish its original function and to create a natural appearance.
Crowns are the treatment of choice in situations where tooth decay has destroyed most of the original tooth, when a traumatic event has caused damage, or in cases of severe enamel erosion. They are also an option for people who grind and clench their teeth so much that the original structure of their teeth has been compromised.
Powered by JS Web Services Pvt. Ltd.